緑内障について(1)
緑内障とは?
緑内障の定義や考え方は近年大きく変化してきています。
平成13年に行われた緑内障疫学調査(多治見スタディー:注1)で、40歳以上の住民の5%に緑内障を認めることが分かり、しかも、眼圧に異常を認めない「正常眼圧緑内障」が全緑内障の半数以上を占めることが分かりました。
このような状況を踏まえ平成18年に日本緑内障学会では新しい緑内障ガイドラインが作成されました。
この中で緑内障の定義は
「緑内障は,視神経と視野に特徴的変化を有し,通常,眼圧を十分に下降させることにより視神経障害を改善もしくは抑制しうる眼の機能的構造的異常を特徴とする疾患である.」
とされました。
なにやら分かり難い表現ですね。
要約すれば、「緑内障とは視神経が特徴的に障害され、主に視野が欠損したり狭窄(狭くなること)してくる疾患で、眼圧が関係していることが多い疾患」ということになります。
従来、緑内障は眼圧(注:2)が高いために視神経が障害される疾患とされてきましたが、眼圧が高くなくても緑内障症状が生じる方がとても多いことから「緑内障性視神経症」ととらえられてきています。
注1多治見スタディーについてはこちら、
注2眼圧のことなどは日本眼科学会HPをどうぞ!
緑内障のタイプと特徴
緑内障には次のタイプがあります
(1)原発開放隅角緑内障
(2)原発閉塞隅角緑内障
(3)続発緑内障
(4)発達緑内障 それぞれのタイプの詳細は注2をご覧下さい。
全緑内障の中の80%以上が(1)開放隅角緑内障というタイプで、しかも眼圧が高くない「正常眼圧緑内障」が5割以上おられます。
(1),(4)の症状は視野障害です。
(こんな様に視野が欠損してきますが、このような状態でも自覚症状はほぼありません)
(2)の症状で特徴的なのは緑内障急性発作です。
症状は、突然に生じる強い眼痛、充血、視力障害でして、頭痛、悪心、嘔吐を伴うことが多いので内科的あるいは脳神経外科的な症状と勘違いし眼科以外の診療科を受診することが多いのも特徴です。
早急に処置をしないと短時間に失明することもあります。
この「閉塞隅角緑内障」の場合には内服薬や注射薬の影響で発作が引き起こされることがあります。
どのタイプの緑内障がどんな薬を飲めないのか?
内服や注射で緑内障発作が生じる理由
閉塞隅角緑内障では瞳孔が広がると眼内で「防水(目の中を循環する水)」の出口が塞がれて、眼内に水がたまり急激に眼圧が上昇するという、急性緑内障発作が生じます。
ですから、瞳孔が広がる可能性のある薬剤、例えば、眠剤、抗うつ薬、抗ヒスタミン薬、筋弛緩薬などは非常に注意が必要です。
とにかく、自分の緑内障が開放隅角なのか閉塞隅角なのかを知ることが最も大事で眼科医もこのことをお伝えする努力をしています。
開放隅角緑内障では禁忌となるお薬はまずありません。
当院における緑内障の検査、診断法
緑内障の診断のためには、視力、眼圧、眼底検査、視野検査、視神経の形態検査(OCT)が必要となります。眼圧の正常な緑内障が多いことから、眼底検査、視野検査、OCT検査が非常に大切となります。
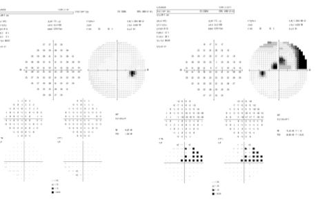
左眼の正常眼圧緑内障:視神経乳頭陥凹と神経繊維束欠損を認める「矢印」
同じ人の視野検査結果:左眼の鼻側上部に視野欠損を認める
同じ人のOCTによる視神経乳頭部の神経繊維の解析結果:左眼の視神経乳頭下方の神経繊維が非薄化している。
緑内障の治療方針
閉塞隅角緑内障の場合
(1)発作を生じている場合はすぐに手術療法。
(2)非発作時:視野欠損があれば点眼治療。発作を生じる可能性がある場合は、レーザー光彩切開術を行うこともおおいが、後に角膜障害を起こすことも多く、隅角を広げることを目的に水晶体再建術を行うことも増えてきている。
開放隅角緑内障の場合
(1)眼圧が高く少しでも視野欠損がある場合は眼圧を下げるために点眼加療。
(2)眼圧が高くない場合で、視野欠損が軽微な場合には視野障害が進行するかどうかを定期的に検査(3、6ヶ月毎)して、明らかに進行する場合には点眼加療を開始。
この(2)はとても大切で、生まれつきの視神経低形成(SSOHなど)という疾患のために元々視野欠損を有しているケースが多くあることが知られてきました。この場合、基本的に視野欠損は進行しません。ですから、最初の診断がとても大切になりますし、実際には経過を見ないと診断がつかないケースも多いのが現状です。緑内障の点眼薬は一度開始すると一生の間、続けなくてはなりません。正確な診断が眼科医の役目となります。
視神経低形成の例(ISOH)

7年間、右眼の視野欠損は変化ない

