ごとう歯科医院
| むし歯予防の基本 | 歯周病予防 | 歯のホワイトニング | リンク集 | 何でも噛める総入れ歯 | 
| 過去Q&A集・目次 | 医院紹介・スタッフ募集 | 身近な地球環境 | 院内新聞記事集 | 院内コラム記事集 | 
| 復刊にご協力を!! | 守山市内のむし歯激減の記録とお願い!! | ごとう歯科掲示板 | 
      
      
 | 
      
      
      
      
       | 
    

| 
     「芸能人は歯が命」というコマーシャルがありましたね。歯の白さは、昔から、明眸皓歯という言葉もありますが、万人のあこがれです。歯の健康にとって、歯の白さは関係ありませんが、ある人の心の健康には大変な意味合いを持つ場合もありそうです。 ヘルスケアプログラムにおいて、フッ化物の使用は、大変重要かつ基礎的な部分ですが、その為に歯の表面が、多少着色して黒ずんでくる場合があります。そのままで全然かまいませんし、そのままの方が良いともいえますが、輝くような白い歯を望まれる方には、歯を傷つけることなく、安全に比較的短期間に白くできますのでご案内します。ご家庭で歯みがき剤等を使って着色を無理に取ろうとしたりはなさらないようにしてください。特殊なホワイトニング処置までしなくとも、専用の器械を使用して安全に歯の着色をお取り致します。ホワイトニングでは、主に加齢による歯の着色・黄ばみに対して非常に有効です。まさに歯の若返りを果たせます。ただし、病気の歯や先天的な問題がある歯の場合は、思うようには白くならないこともあります。お気軽にご相談下さい。  | 
  
| 
       
  | 
    
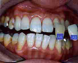
| 漂 白 前 | 
       
        | 
      
       
        | 
      
       
        | 
      
| ↓ | ↓  | 
    ↓  | 
    ↓  | 
    
  | 
  
| 漂 白 後 | 
  | 
    
  | 
    
  | 
    
| 
     | 
    
| 
     
      | 
    
     
      | 
    
| 
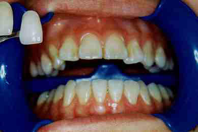
       漂 白 前 → 40分後 →  | 
      
       →漂 白 後 恥ずかしながら院長自身です。  | 
      
| 
         | 
        
| 
            ウェーブライト       | 
          
| 
           | 
          
            ![]()  | 
          
最終更新日:2005年07月26日